Workshop on Synthetic Data for Polyp Segmentation



Slides Icon workshop.enricmor.eu
GitHub Icon github.com/enric1994/workshop

Day 1

  1. Introduction to synthetic data
  2. Blender basics
  3. 3D-based synthetic data
  4. Training a classifier

Synthetic data

Wang, Qi, et al. "Learning from synthetic data for crowd counting in the wild." Proceedings of the IEEE/CVF conference on computer vision and pattern recognition. 2019.

Synthetic data

Wang, Qi, et al. "Learning from synthetic data for crowd counting in the wild." Proceedings of the IEEE/CVF conference on computer vision and pattern recognition. 2019.

Sindagi, Vishwanath A., Rajeev Yasarla, and Vishal M. Patel. "Jhu-crowd++: Large-scale crowd counting dataset and a benchmark method." IEEE transactions on pattern analysis and machine intelligence. 2020.

Synthetic data

Makoviychuk, Viktor, et al. "Isaac gym: High performance gpu-based physics simulation for robot learning." arXiv preprint arXiv:2108.10470 (2021)

Synthetic data

Makoviychuk, Viktor, et al. "Isaac gym: High performance gpu-based physics simulation for robot learning." arXiv preprint arXiv:2108.10470 (2021)

Synthetic data

Neurolabs: https://www.neurolabs.ai/

Synthetic data

Neurolabs: https://www.neurolabs.ai/

Synthetic data

OpenAI Sora: https://openai.com/sora/

Synthetic data

  • Unlimited
  • Perfectly annotated
  • Balanced distribution
  • Doesn't contain sensitive information

Blender basics

Blender basics


import bpy
# Delete all objects
bpy.ops.object.select_all(action='SELECT')
bpy.ops.object.delete()
# Add a cube
bpy.ops.mesh.primitive_cube_add(location=(0,4,0), rotation=(0, 0, 0.7))
cube = bpy.context.active_object
# Add a material
cube.active_material = bpy.data.materials.new(name="MaterialName")
cube.active_material.diffuse_color = (1, 0, 0, 1)
# Add a camera
bpy.ops.object.camera_add(location=(0, -50, 0), rotation=(3.14 / 2, 0, 0))
bpy.context.scene.camera = bpy.context.active_object
# Add a light
bpy.ops.object.light_add(type='SUN')
# Render image
bpy.context.scene.render.resolution_x = 100
bpy.context.scene.render.resolution_y = 100
bpy.context.scene.render.filepath = '/path/to/render.png'
bpy.ops.render.render(write_still=True)
                    

Task 1: Hello Blender

  • Create a dataset of 50 images with 1-10 cubes
  • Each image will contain red, green, and blue cubes
  • The number of cubes of each color will be random
  • The labels will be encoded in the filename:
    • id_red_green_blue.png (0_3_1_6.png)

Task 1: Hello Blender

  • Save regularly to prevent losing your work
  • Keep the resolution low to speed up the rendering
  • Use the random built-in package:

import random

random.randint(0, 10) # Random integer between 0 and 10
random.uniform(-3, 3) # Random float between -3 and 3
random.choice(['red', 'green', 'blue']) # Random choice from the list
                    

3D-based synthetic data

3D environment
3D model
Background image
Lighting and camera

3D environment

Community, B. O. (2018). Blender - a 3D modelling and rendering package. Stichting Blender Foundation, Amsterdam. Retrieved from http://www.blender.org

3D model

Source: Sketchfab

3D model

Background image

Zhou, B., Lapedriza, A., Khosla, A., Oliva, A., & Torralba, A. (2017). Places: A 10 million Image Database for Scene Recognition. IEEE Transactions on Pattern Analysis and Machine Intelligence.

Lighting and camera parameters

Loading assets in Blender


import bpy
# Delete all objects
bpy.ops.object.select_all(action='SELECT')
bpy.ops.object.delete()
# Import the model in FBX format
bpy.ops.import_scene.fbx(filepath="/path/to/model.fbx")
imported_object = bpy.context.selected_objects[0]
imported_object.location = (0, 0, 0)
imported_object.rotation_euler = (0, 0, 0)
imported_object.scale = (4, 4, 4)
# Add a camera
bpy.ops.object.camera_add(location=(0, -50, 0), rotation=(3.14 / 2, 0, 0))
bpy.context.scene.camera = bpy.context.active_object
# Add a light
bpy.ops.object.light_add(type='SUN', location=(0, 0, 0), rotation=(0, 0, 0))
# Background plane
bpy.ops.mesh.primitive_plane_add(size=2, location=(0, 60, 0), rotation=(3.14/2, 0, 0))
plane = bpy.context.active_object
plane.scale = (120, 120, 120)
mat = bpy.data.materials.new("BGMaterial")
mat.use_nodes = True
nodes = mat.node_tree.nodes
links = mat.node_tree.links
for node in nodes:
    nodes.remove(node)
tex_node = nodes.new("ShaderNodeTexImage")
emit_node = nodes.new("ShaderNodeEmission")
out_node = nodes.new("ShaderNodeOutputMaterial")
tex_node.image = bpy.data.images.load("/path/to/background.png")
links.new(tex_node.outputs["Color"], emit_node.inputs["Color"])
links.new(emit_node.outputs["Emission"], out_node.inputs["Surface"])
plane.data.materials.append(mat)
# Render image
bpy.context.scene.render.resolution_x = 256
bpy.context.scene.render.resolution_y = 256
bpy.context.scene.render.filepath = "/path/to/render.png"
bpy.ops.render.render(write_still=True)
# Remove orphan data
for block in bpy.data.meshes:
    if block.users == 0:
        bpy.data.meshes.remove(block)
for block in bpy.data.materials:
    if block.users == 0:
        bpy.data.materials.remove(block)
for block in bpy.data.images:
    if block.users == 0:
        bpy.data.images.remove(block)
                                            

Task 2: Savanna dataset

  • Create a dataset of 30 images
  • Each image will contain animals of the same type
  • The labels will be encoded in the filename:
    • id_animal.png (0_lion.png)

Use the provided backgrounds and 3D models

Task 2: Savanna dataset

Send your best synthetic images to workshop@enricmor.eu

Training a model with Pytorch

Dataset
Data splitting
DataLoader
Model
Optimizer
Training loop

Dataset


import torch
from torch.utils.data import Dataset

class MyDataset(Dataset):
    def __init__(self):
        super().__init__()
        self.images = torch.randn(1000, 3, 256, 256)
        self.labels = torch.randint(0, 2, (1000,))
    
    def __getitem__(self, index):
        return self.images[index], self.labels[index]
    
    def __len__(self):
        return len(self.images)
                    

Data Splitting


from torch.utils.data import random_split

dataset = MyDataset()
train_size = int(0.8 * len(dataset))
val_size = len(dataset) - train_size

train_dataset, val_dataset = random_split(dataset, [train_size, val_size])
                    

DataLoader


from torch.utils.data import DataLoader

train_loader = DataLoader(train_dataset, batch_size=32, shuffle=True, num_workers=4)
val_loader = DataLoader(val_dataset, batch_size=32, shuffle=False, num_workers=4)
                    

Model


import torchvision
import torch.nn as nn

model = torchvision.models.resnet18()
model.fc = nn.Linear(model.fc.in_features, 3)
                    

Model

Optimizer


import torch.optim as optim            
optimizer = optim.SGD(model.parameters(), lr=1e-3)
                    

Optimizer

Optimizer

Amini, Alexander, et al. "Spatial uncertainty sampling for end-to-end control." arXiv preprint arXiv:1805.04829 (2018).

Loss


import torch.nn as nn

criterion = nn.CrossEntropyLoss()
                    

Loss

Training loop


model.train()
num_epochs = 5

for epoch in range(num_epochs):
    for batch_data, batch_labels in train_loader:
        outputs = model(batch_data)
        loss = criterion(outputs, batch_labels)
        
        optimizer.zero_grad()
        loss.backward()
        optimizer.step()
                    

Task 3: Train a classifier

Complete the missing components:

  • Model
  • Optimizer


Notebook

End of Day 1

Recap of Day 1

GTAV

Introduction to synthetic data

Blender Dataset

Hello Blender

Savanna Dataset

Savanna dataset

Pytorch

Image classifier

Day 2

  1. Training a segmentation model
  2. Domain randomization
  3. Domain adaptation

Training a segmentation model

Model
Train data
Test data

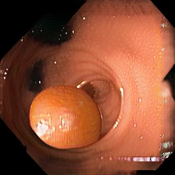
Train data: Synth-colon

  • 828 images
  • 256x256 pixels
  • Generated with Blender
Enric Moreu, Kevin McGuinness, and Noel E O’Connor. “Synthetic Data for Unsupervised Polyp Segmentation”. In: Irish Conference on Artificial Intelligence and Cognitive Science (AICS). 2021.

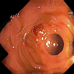
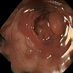
Test data: Kvasir-SEG

  • 1000 images
  • various sizes
  • Each image contains 1 polyp
  • Collected and annotated by medical professionals
Jha, Debesh, et al. "Kvasir-seg: A segmented polyp dataset." MultiMedia modeling: 26th international conference, MMM 2020, Daejeon, South Korea, January 5–8, 2020, proceedings, part II 26. Springer International Publishing, 2020.

Task 4: Synthetic polyp segmentation

Improve the following components:

  • Model
  • Optimizer
  • Loss function

Notebook

Domain randomization

Domain randomization

Synthetic
Real

Domain randomization

Synthetic
Real

Domain randomization

Data augmentation

Albumentations: https://albumentations.ai/

Style transfer

Gatys, Leon A. "A neural algorithm of artistic style." arXiv preprint arXiv:1508.06576 (2015)

Style transfer


VGG-16

Simonyan, Karen. "Very deep convolutional networks for large-scale image recognition." arXiv preprint arXiv:1409.1556 (2014).

Style transfer

Task 5: Stylize the Savanna dataset

  • Try multiple styles
  • Find a good balance between style and content

Notebook

Task 5: Stylize the Savanna dataset

Send your best stylized images to workshop@enricmor.eu

Domain adaptation

Domain adaptation

Synthetic
Real

Domain adaptation

Domain adaptation

DA Synthetic
DA Real
Enric Moreu et al. “Self-Supervised and Semi-Supervised Polyp Segmentation using Synthetic Data”. International Joint Conference on Neural Networks (IJCNN) 2023.
Source: Wikipedia
Source: Wikipedia
Source: Wikipedia
Moskát, Csaba, et al. "Cuckoo parasitism on two closely-related Acrocephalus warblers in distant areas: a case of parallel coevolution?." Avian Research 3.4 (2012): 320-329.

Generative adversarial networks

Generative adversarial networks

Goodfellow, Ian, et al. "Generative adversarial nets." Advances in neural information processing systems 27. 2014.

Generative adversarial networks

Revi, Remya, K. R. Vidya, and M. Wilscy. "Detection of deepfake images created using generative adversarial networks: A review." Second International Conference on Networks and Advances in Computational Technologies: NetACT 19. Springer International Publishing, 2021.

Generative adversarial networks

Shrivastava, Ashish, et al. "Learning from simulated and unsupervised images through adversarial training." Proceedings of the IEEE conference on computer vision and pattern recognition. 2017.

CycleGAN

Zhu, Jun-Yan, et al. "Unpaired image-to-image translation using cycle-consistent adversarial networks." Proceedings of the IEEE international conference on computer vision 2017-Octob. 2017.

CycleGAN



Zhu, Jun-Yan, et al. "Unpaired image-to-image translation using cycle-consistent adversarial networks." Proceedings of the IEEE international conference on computer vision 2017-Octob. 2017.

CycleGAN



Zhu, Jun-Yan, et al. "Unpaired image-to-image translation using cycle-consistent adversarial networks." Proceedings of the IEEE international conference on computer vision 2017-Octob. 2017.

Task 6: Synthetic polyp segmentation with domain adaptation

  • Apply data augmentation to the train dataset
  • Use the CycleGAN-adapted synthetic images
  • Select a model, optimizer and loss function

Notebook

Wrapping up

Blender Logo

Hello Blender

Savanna

Pytorch introduction

Domain Randomization

Domain randomization

Data augmentation

Data augmentation

Starry Logo

Style transfer

Domain adaptation

Domain adaptation

Generative Networks

Generative networks

CycleGAN

CycleGAN

Thank you